Dental question re implant
Discussion
Hi there
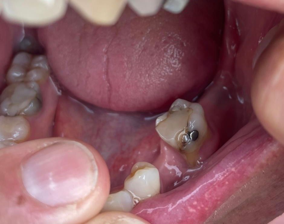
I’m currently on holiday and managed to lose a bit of tooth whilst eating a hard sweet. As you can see from the pictures (apologies, I appreciate they aren’t particularly pleasant to look at!), it’s my only remaining molar on my left side and has had extensive work in the past as well as root canal treatment.
The last time I visited an NHS dentist (pre covid) they were looking at options but were concerned about a fragment of bone left over from an extraction adjacent to this tooth, and referred me to a dental hospital to have it removed. This never happened as everything essentially stopped in Scotland as far as elective dental treatment was concerned. I did go to a private dentist around 2022 and he took an x-ray and said he wasn’t concerned about the fragment as it had been there for so long without any issue. I subsequently moved and life got in the way and I haven’t been back to a dentist since. I will have to find a new dentist when I return from holiday.
I now would like to get things “sorted” and would be grateful for any input as I know there are some excellent contributors on here who are (ex) dentists, or if you have had an implant. What would be options to restore the tooth and also replace some of the missing teeth on that side?
Could the chipped tooth be crowned to “shore” it up until I consider an implant on either side?
Would it be better to have it removed and some form of implant(s) with a (cantilever?) bridge?
Thanks in advance. I’m probably looking for a dentist who specialises in implants in either Durham or Edinburgh area if anyone has any recommendations.


I’m currently on holiday and managed to lose a bit of tooth whilst eating a hard sweet. As you can see from the pictures (apologies, I appreciate they aren’t particularly pleasant to look at!), it’s my only remaining molar on my left side and has had extensive work in the past as well as root canal treatment.
The last time I visited an NHS dentist (pre covid) they were looking at options but were concerned about a fragment of bone left over from an extraction adjacent to this tooth, and referred me to a dental hospital to have it removed. This never happened as everything essentially stopped in Scotland as far as elective dental treatment was concerned. I did go to a private dentist around 2022 and he took an x-ray and said he wasn’t concerned about the fragment as it had been there for so long without any issue. I subsequently moved and life got in the way and I haven’t been back to a dentist since. I will have to find a new dentist when I return from holiday.
I now would like to get things “sorted” and would be grateful for any input as I know there are some excellent contributors on here who are (ex) dentists, or if you have had an implant. What would be options to restore the tooth and also replace some of the missing teeth on that side?
Could the chipped tooth be crowned to “shore” it up until I consider an implant on either side?
Would it be better to have it removed and some form of implant(s) with a (cantilever?) bridge?
Thanks in advance. I’m probably looking for a dentist who specialises in implants in either Durham or Edinburgh area if anyone has any recommendations.
Edited by tim0409 on Saturday 6th September 22:23
Edited by tim0409 on Sunday 7th September 00:21
Gassing Station | Health Matters | Top of Page | What's New | My Stuff


